Check Out How Our Local Dentist in Bedminster, NJ Can Transform Your Smile!
- Over 30 Years of Experience
- Same-Day Service
- Multilingual Staff
- Over 30 Years of Experience
- Same-Day Service
- Multilingual Staff
Peek at How We'll Beautify Your Teeth
We at Bedminster Family & Cosmetic Dentistry have been serving the NJ area for over 30 years. In that time, we've gifted hundreds and hundreds of patients with glistening, healthy teeth. A smile goes a long way, both for your confidence and for those around you. Have a look at these images of patients after successful procedures, and see what we can do for you. Call our local dentist in Bedminster, NJ us today at (908) 234-1401
or request an appointment to begin a procedure to achieve your perfect smile!
Before and After
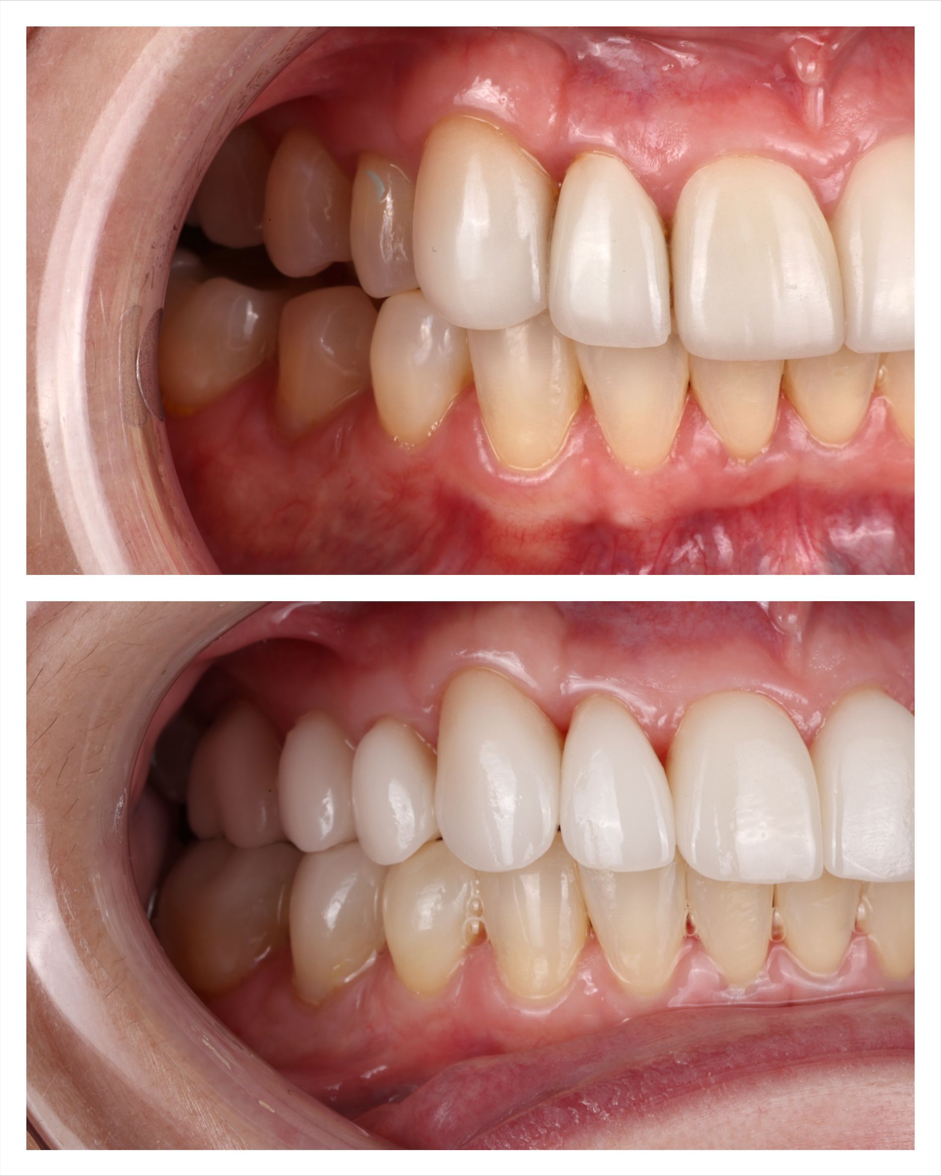
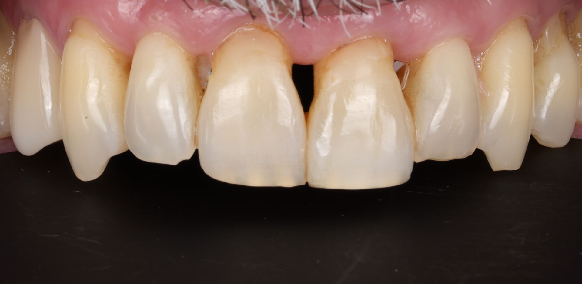
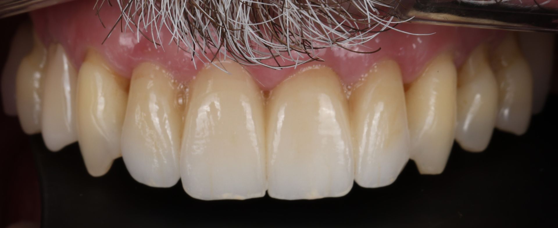
I.F.



What began as a fractured front tooth became an opportunity to restore this patient’s smile. After extraction and implant placement, six custom veneers were designed to maintain a seamless, natural aesthetic look while correcting the lateral tilt. KöR whitening was completed on the lower arch to perfectly blend both arches. The goal was simple: natural, balanced, and undetectable dentistry.
Because the art of cosmetic dentistry is enhancing your natural features, not changing who you are ✨
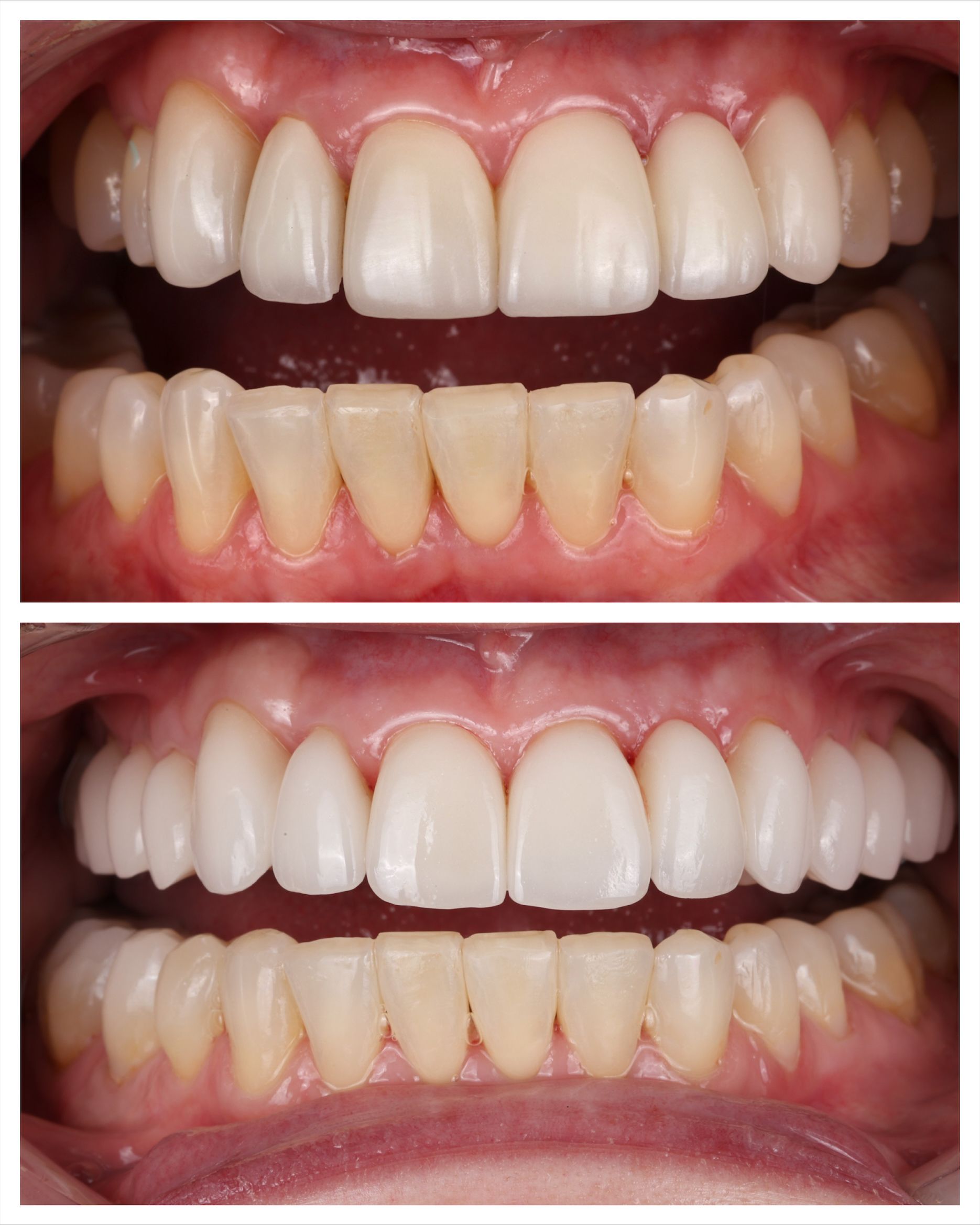
Azzam



A reminder that you don’t always need a full smile makeover to achieve a dramatic result.
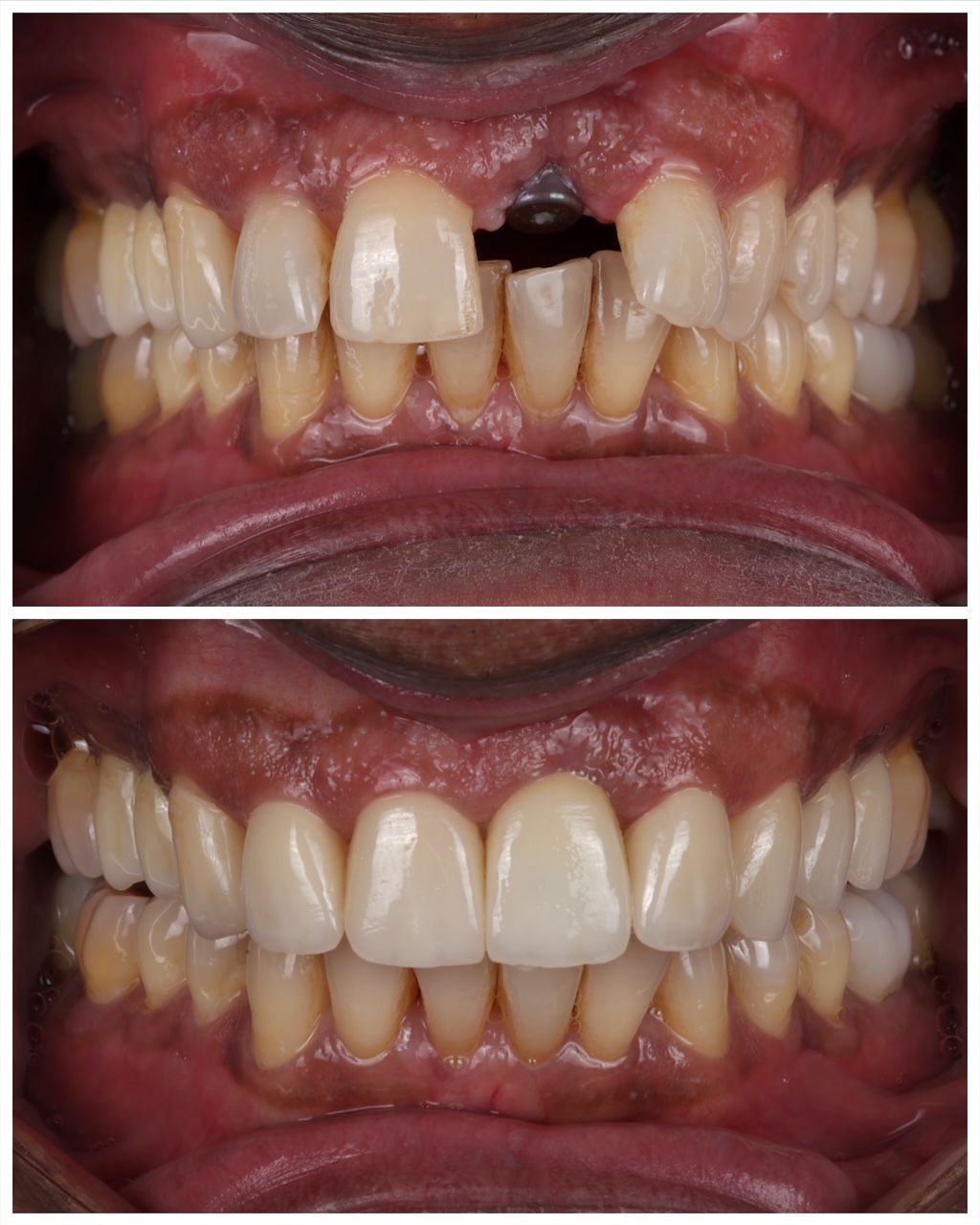
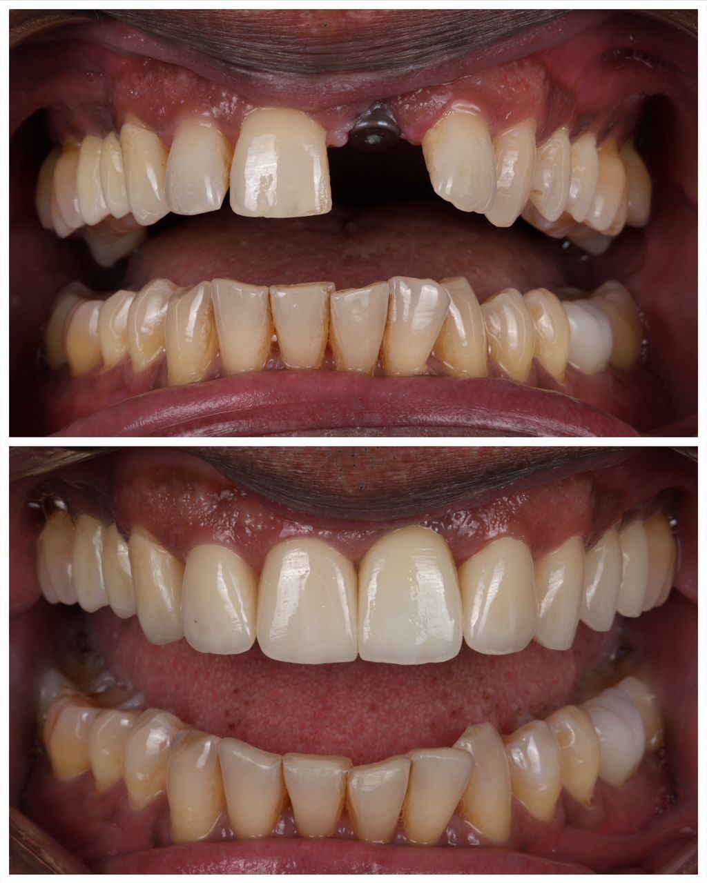
This patient presented with non-restorative #8 and #10. With thoughtful planning, we restored his smile using:
2 implant crowns, 1 veneer on #7, implant-supported bridge, and KöR professional whitening.
By focusing treatment on only the four front teeth, we were able to achieve a bright, natural, and confident smile — all while keeping the treatment conservative and intentional.
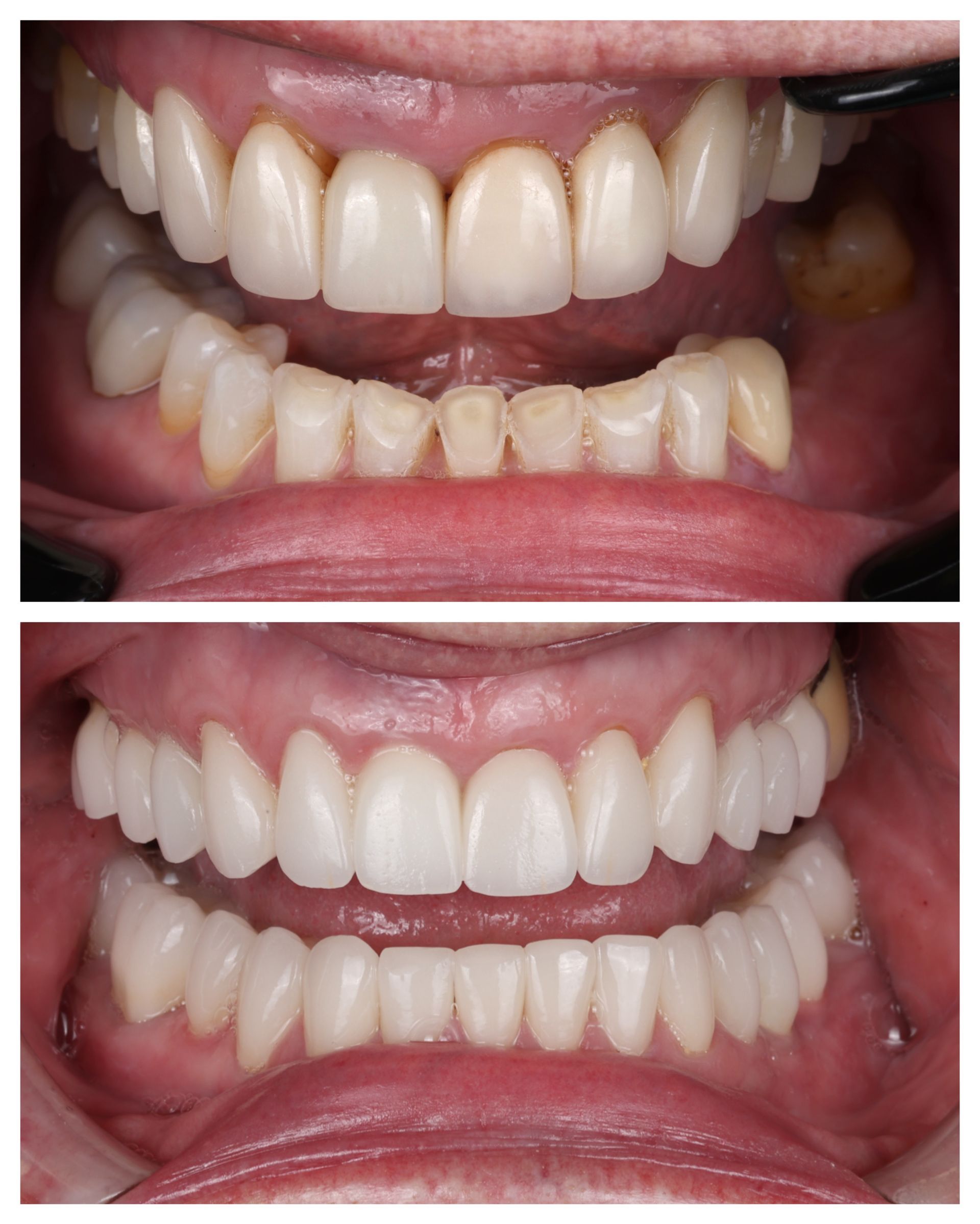
P.M.

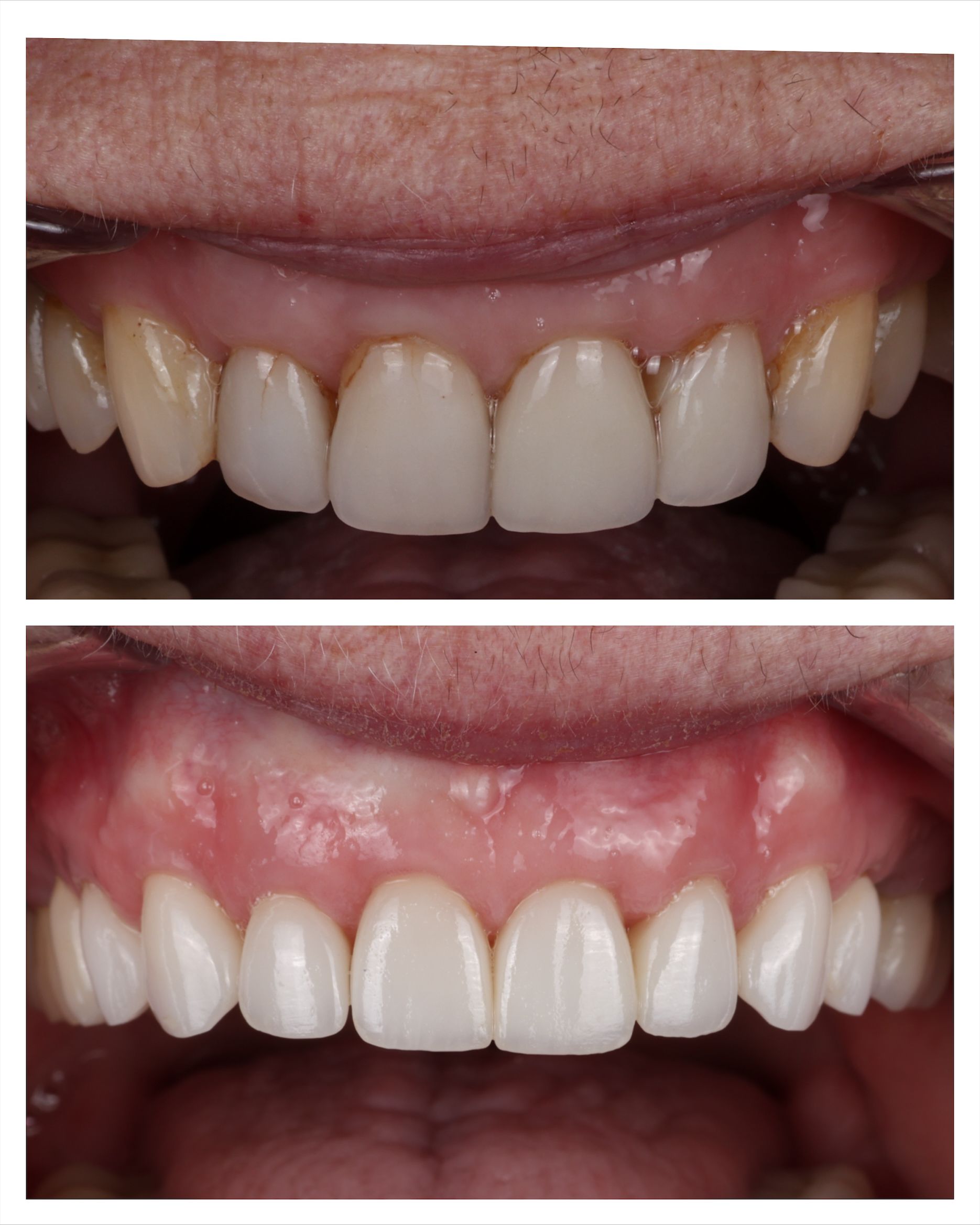
Old veneers + leaking margins ➡️ seamless, healthy, confident smile.
We restored 8 upper teeth to create balance, strength, and a result that looks as good as it feels.
Because cosmetic dentistry isn’t about changing who you are—it’s about revealing the best version of you. ✨
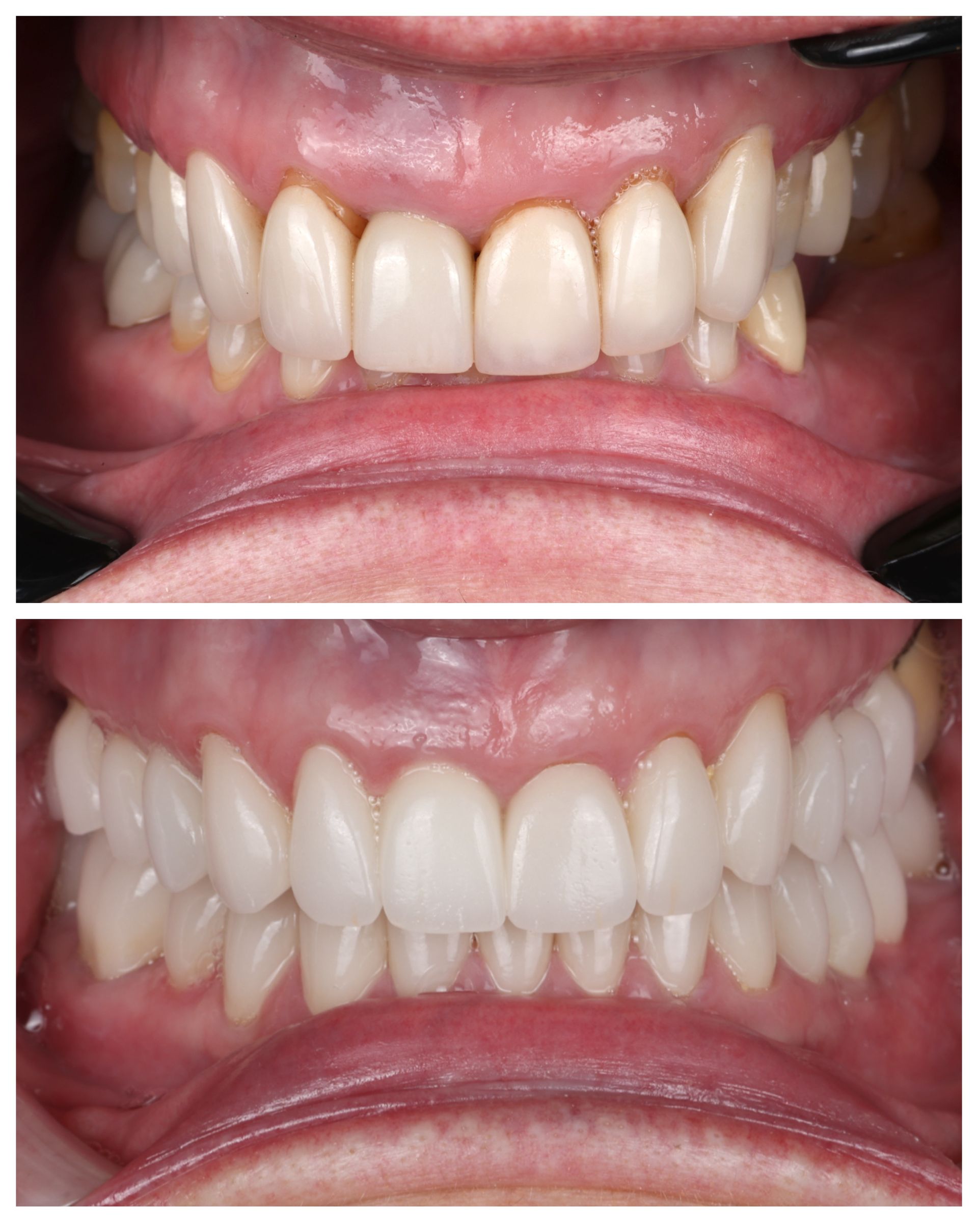
Angela M.




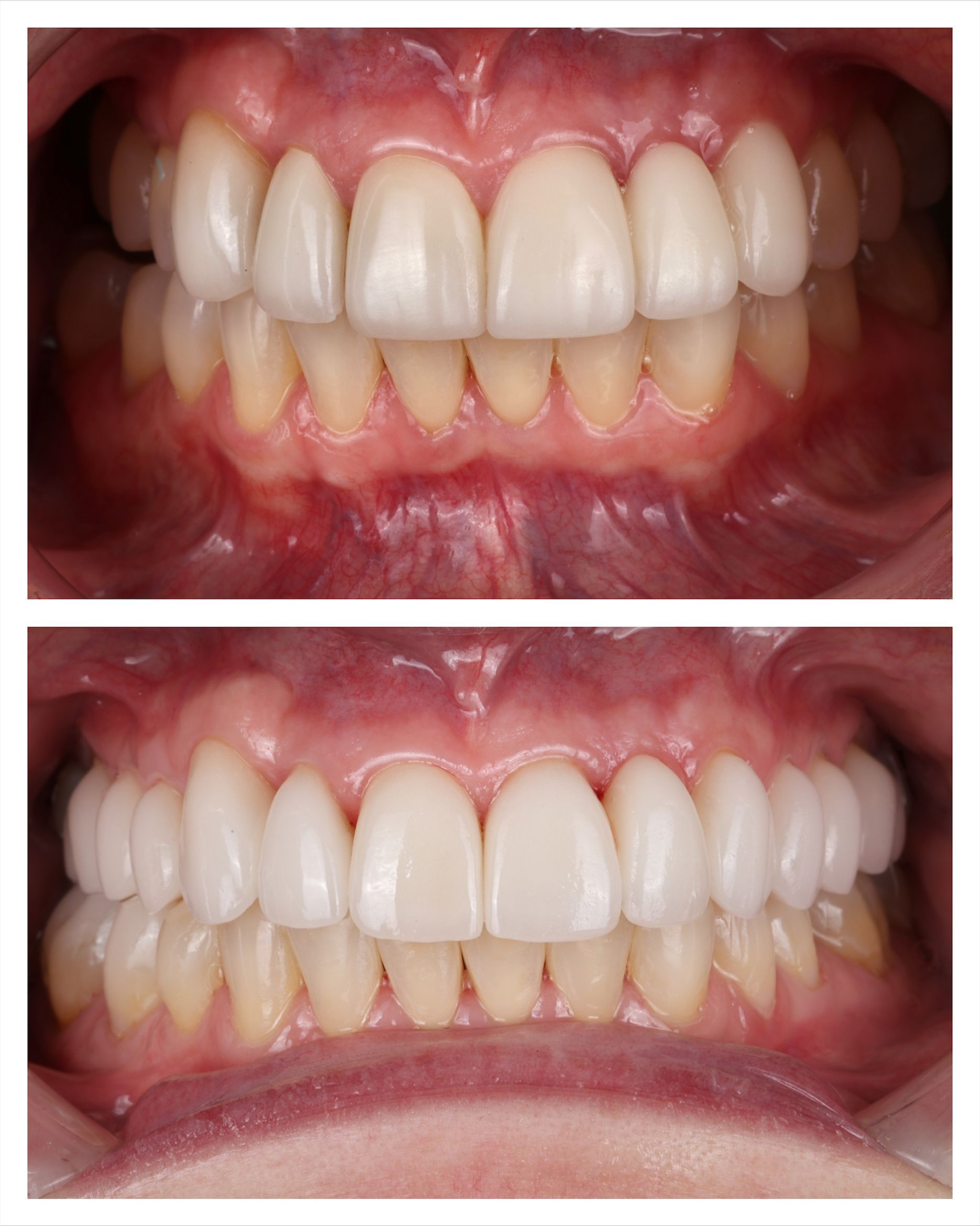
Previously, the upper arch had uneven wear, compromised tooth structure, and an open bite on the right side, affecting function, comfort, and long-term oral health.
Through a full upper restoration using a precise combination of veneers and a bridge, we restored proper bite alignment while enhancing the smile's natural aesthetics.
Linda R.





Years of wear, discoloration, and imbalance were replaced with harmony, symmetry, and a brighter, more natural appearance through the use of porcelain veneers and crowns. Her smile is now refined, looking healthier and more youthful.
N.S.




This patient presented with discoloration and spacing between his teeth. Dr. Mike combined veneers, whitening, and crowns to restore esthetics as well as function. Now, he has a healthy, natural-looking smile designed to complement his facial features.
A. M.



A stunning smile transformation that not only enhanced aesthetics but also restored confidence with a combination of veneers and crowns. This improved symmetry and created a natural, harmonious result.
S. H.



This smile was enhanced with carefully placed crowns and veneers to improve color, shape, and balance. The result is a natural, refreshed appearance that complements the patient’s features beautifully.
K.M.





Combination case of veneers on upper and bleaching on lower. What a beautiful result!
M.G.



Our goal here was to create a more youthful smile while addressing her dental needs. What a beautiful result.
D.G.


This patient hated his smile, and his bite was destroying his teeth. We opened his bite by using implants, crowns, onlay veneers, and veneers to accomplish this beautiful result.
G.B.



This case had everything. We opened his bite, restored with implants, periodontal surgery, crowns, and veneers. This patient was so happy, and couldn’t stop thanking us for his new smile!
G.D.




This is a great example of what minimal dentistry can accomplish. We achieved this great look with only 4 veneers and some gum recontouring. The patient loves this beautiful result.
M.B.



This patient did not like how worn and short his teeth had become, and how old they look. This was a full-mouth rehabilitation case using veneers and onlay veneers to open the patient’s bite and create a beautiful smile.
J. Y.

J.Y. wanted to improve her smile for her wedding. Dr. Mike placed veneers on top and bottom to get her ready for her special day.


J.Y.'s before and after.

Our patient lost a tooth and required an implant and a veneer with great results.

Close-up to really appreciate that new look.

Patricia

We improved patients smile by replacing old crowns and discolored teeth with all porcelain crowns. She was thrilled and wish she had done it years ago
Anna

This case involved a full upper reconstruction with all porcelain crowns and bridges and a new partial lower. The lower anterior teeth will be addressed next.
Chrissy

Elivira

Frank

We fixed smile with only two veneers.
Kara

We did laser gum recontouring and 2 veeners to fix her laterals.
Kostas

Veneers on front four teeth to fix fractured teeth. Beautiful result.
Sam

Sam wanted to close the gap in his front teeth and improve his smile. Dr. Mike gave the patient 4 veneers to achieve the look and smile that Sam was looking for.
Shawn

Patient came in unhappy with previous dental work on front four anterior teeth. We redid case doing six veneers on the front six teeth. Patient loved it.
S. W.

Patient wanted to improve her smile. She did not like the short chipped teeth and the gummy looking smile so we raised the gumline and veneered the front six teeth creating longer more esthetic looking teeth. She loves them.
Victoria

Patient had veneers done somewhere else and did not like results. Came to us and we redid veneers to look much more youthful and age appropriate. Patient was thrilled.
Sanaz

We replaced old crowns and veneers that were too bulky and opaque looking and made them more in line with her smile and facial features.
Eric

This was a complete smile makeover. Patient needed his bite opened, Implants, all porcelain crowns and veneers placed. Treatment was coordinated by Dr Mavrostomos to also involve the periodontist for the implant placement and some gingival esthetic recontouring.
Martha

Gary

Mark

Pat

Sandy

Emily

Kathy

Michael

Tom

Allison

Joe

Arnel

Before and After










Share On: